23.08.2025
Наука підтверджує, що мозок призначений для поклоніння Богу!
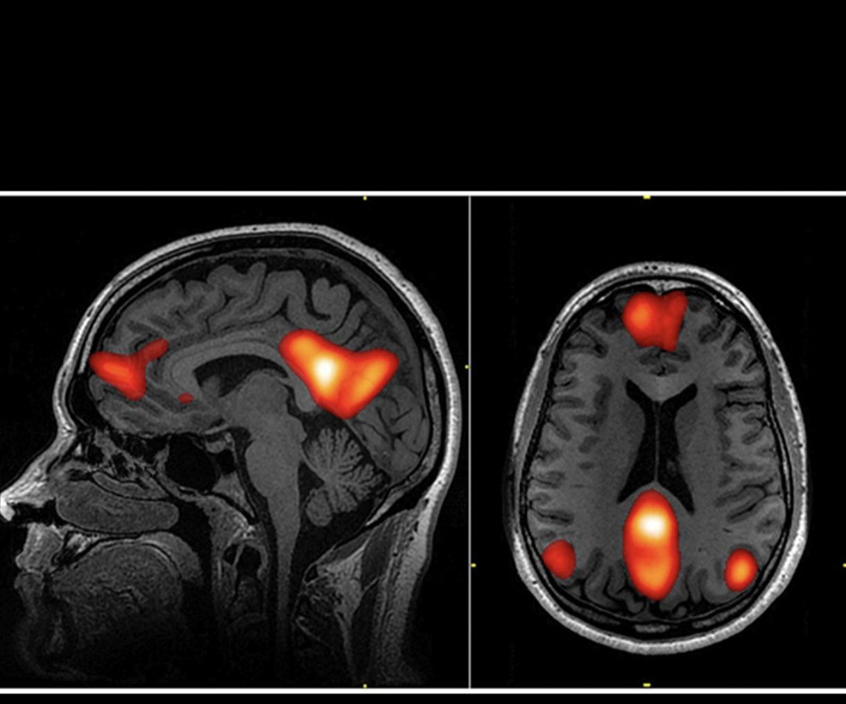
Дослідження 2016 року, проведене доктором Майклом Фергюсоном за допомогою фМРТ-сканування, показало, що поклоніння активує унікальну комбінацію ділянок мозку – систему винагороди, центри морального мислення та мережі зосередженої уваги – всі вони працюють разом за схемою, яку ніщо інше не відтворює.
Любов, музика, краса – вони запалюють частини мозку.
Але поклоніння? Воно задіює всі три системи одночасно.
Воно має неврологічні особливості. Ось чому люди описують його, як щось зовсім інше – бо це так.
Мозок реагує на поклоніння так, ніби він був створений для нього.
Вернуться назад
Приглашаем на Хвалу!
До начала хвалы осталось:





